Enkelbreuk

Stabiele Weber B-fractuur

Inleiding

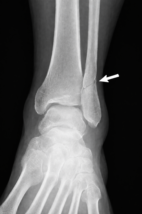
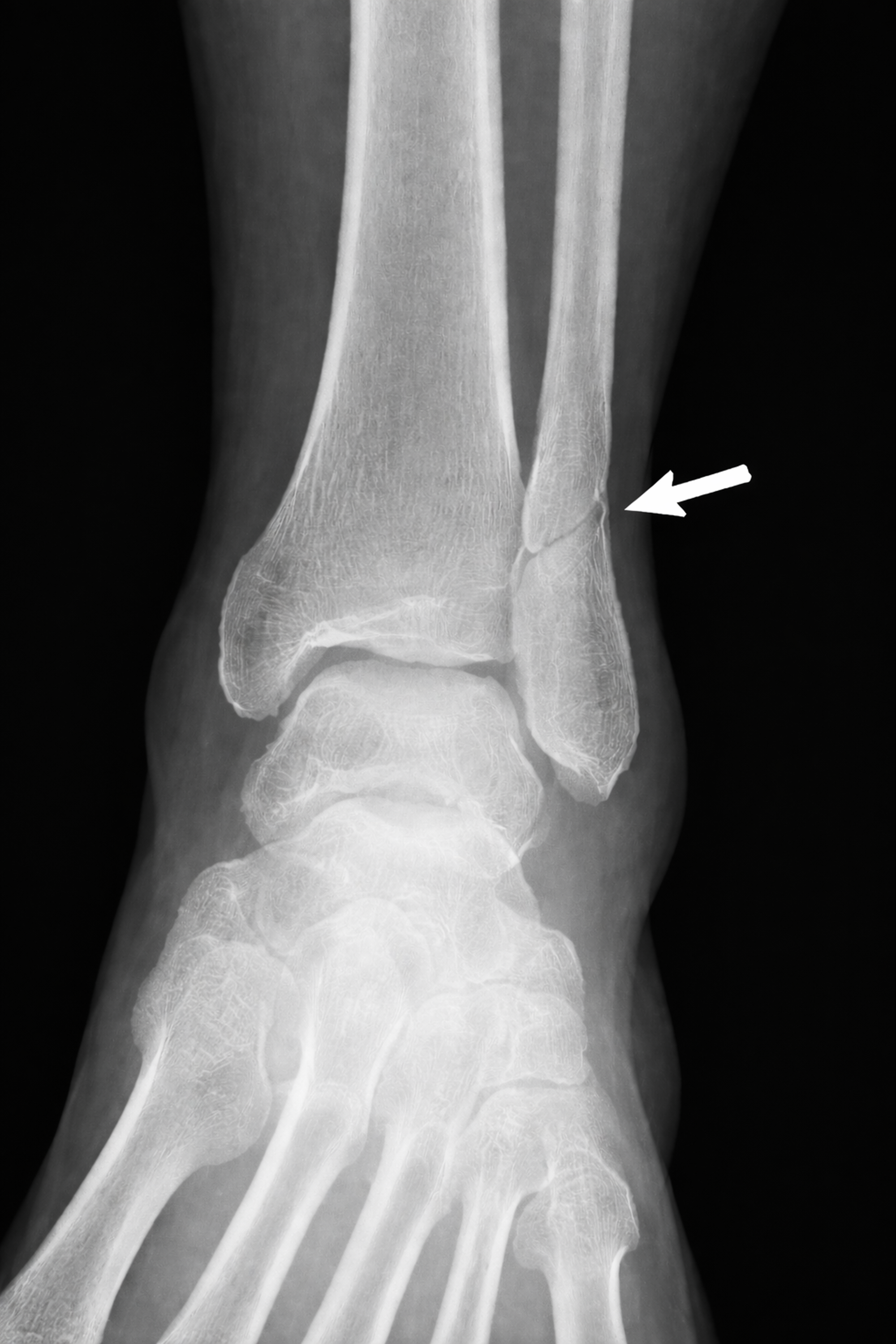
Een Weber B-fractuur komt vaak voor. Het is een breuk van het kuitbeen ter hoogte van de enkelbandverbinding (syndesmose). Uit de röntgenfoto’s blijkt dat het bij u om een stabiele Weber B-fractuur gaat. Dit betekent dat u 1 tot 2 weken gips zult krijgen, waarbij het belangrijk is dat u niet loopt. Na deze periode krijgt u een enkelbrace en kunt u, afhankelijk van de klachten, geleidelijk gaan belasten voor een periode van 4 tot 5 weken. Zes weken na de breuk komt u terug voor een controle op de gipskamer.

Samenvatting

  • U heeft een breuk in uw kuitbeen ter hoogte van de enkel.
  • Houd uw been in de eerste week zoveel mogelijk omhoog. Dit helpt om de enkel en voet minder dik te maken.
  • Nadat u de brace heeft gekregen, kunt u rustig beginnen met belasten, afhankelijk van de klachten.
  • U kunt oefeningen doen om het herstel te ondersteunen. Deze vindt u onderaan deze informatie.
  • Na zes weken komt u terug op de gipspoli voor een controle. Er wordt dan geen röntgenfoto gemaakt, omdat dit geen meerwaarde heeft. We bespreken vooral hoe het herstel de afgelopen weken is verlopen en wat de vervolgstappen zijn.
  • Heeft u vragen of klachten tijdens uw herstel? Bel dan op werkdagen de gipskamer.

De behandeling

Een breuk in het kuitbeen komt vaak voor. Uit de extra röntgenfoto's blijkt dat u een stabiele breuk heeft. U krijgt 1 tot 2 weken een gipsverband, waarmee u niet mag lopen. Daarna krijgt u een enkelbrace, zodat u rustig kunt beginnen met belasten.

Week 1 tot 2

  • Gips.
  • Houd het been volledig onbelast.
  • Zorg ervoor dat uw been zoveel mogelijk omhoog ligt. Leg ook in bed uw been hoog, bijvoorbeeld door een kussen onder uw matras te plaatsen. De enkel moet hoger liggen dan de knie, en de knie hoger dan de heup.
  • Gebruik krukken of een rollator om te lopen, indien mogelijk.
  • Als u pijn heeft, kunt u paracetamol gebruiken. Neem maximaal 2 tabletten van 500 mg, 4 keer per dag. Gebruik paracetamol niet langer dan 7 dagen.

Week 2 tot 6

  • Draag de brace in een stevige schoen.
  • Verwijder de brace ’s nachts en tijdens het douchen.
  • Begin rustig met lopen. Gebruik krukken indien nodig, maar stop als u te veel pijn voelt. Houd de enkel omhoog wanneer u niet loopt.
  • Gedurende de herstelperiode blijft u de brace dragen, maar kunt u het gebruik van de krukken geleidelijk verminderen. Als u overgaat naar één kruk, gebruik dan altijd de kruk aan de niet-aangedane zijde.
  • Start met oefeningen om het herstel te ondersteunen en uw enkel soepel te houden.
  • Als u veel pijn blijft houden die niet afneemt, neem dan contact op met de gipskamer. Indien nodig plannen we een extra controle in.

Na 6 weken

  • U komt terug op controle
  • Breid uw loopactiviteiten geleidelijk uit, afhankelijk van de pijnklachten.
  • Lichte sporten, zoals fietsen en zwemmen, zijn toegestaan.
  • Na 3 maanden kunt u weer zware of contactsporten beoefenen, mits de pijn volledig verdwenen is. Houd er echter rekening mee dat volledig herstel tot 6 maanden kan duren, of zelfs langer.

Lopen met krukken

Indien nodig kunt u krukken huren of kopen bij Medipoint, of vanaf 4 mei bij het servicepunt hulpmiddelen van Vegro Bosman in VieCuri Venlo. 

In deze folder kunt u lezen hoe u met krukken kunt lopen: Lopen met krukken

Oefeningen

Om te voorkomen dat uw enkel stijf wordt, is het belangrijk om oefeningen te doen vanaf het moment dat u geen gips meer heeft.

  • Begin met onbelaste oefeningen zonder brace. Dit zijn oefeningen die u doet zonder op de voet te staan.
  • Oefen alleen wanneer de pijn dit toelaat.
  • Doe de oefeningen minimaal 3 keer per dag.
  • Voer elke oefening 10 tot 15 keer uit.
  • Bouw de oefeningen langzaam op. Neem gerust pauzes en leg het been hoog als dat nodig is.
  • U kunt de oefeningen eventueel in warm water doen.

 

Als u dat wilt kunt u de app "Versterk je Enkel" downloaden voor extra oefeningen, of een fysiotherapeut raadplegen voor aanvullende begeleiding.

Figuur 1
Figuur 2

Contact

Opmerkingen

Stuur een e-mail (+ link van de pagina) naar communicatie@viecuri.nl en we zoeken een passende oplossing.

Disclaimer

Deze informatie is algemeen en geen behandeladvies. De informatie is ook geen vervanging van de afspraken die tussen patiënt en zorgverlener zijn gemaakt. Vertalingen zijn gemaakt met vertaalsoftware en kunnen fouten bevatten. VieCuri kan niet aansprakelijk worden gesteld voor schade als gevolg van mogelijke onjuistheden. Bekijk hier de uitgebreide disclaimer.

scroll terug naar boven