Inleiding
De behandelend specialist heeft met u afgesproken dat u in het ziekenhuis opgenomen wordt voor een tibiakop osteotomie. De specialist en de orthopedie-consulent hebben u al informatie gegeven over de ingreep. Hier kunt u een en ander nog eens rustig nalezen.
Wat is een tibiakop osteotomie?
De tibiakop is het bovenste deel van het bot in het onderbeen en vormt de onderkant van het kniegewricht. Osteotomie betekent ‘doornemen van het bot’. Het doel van de osteotomie is het veranderen van de stand van het been.
Oorzaken en klachten
Een tibiakop osteotomie (ook wel open-wig osteotomie) wordt toegepast bij beschadiging van het kraakbeen in het kniegewricht. Belasting van de plaats van de beschadiging veroorzaakt pijnklachten.
Kraakbeenbeschadiging kan een aantal oorzaken hebben, waaronder een in het verleden verwijderde meniscus, een botbreuk of het verdraaien van de knie. De kwaliteit van het kraakbeen kan ook spontaan verminderd zijn.
Met een osteotomie kan de stand van het been zodanig veranderd worden dat de druk op de plaats van de kraakbeenbeschadiging vermindert. Dit komt doordat de belastingslijn van de binnenzijde van de knie verschuift. Hierdoor zullen de klachten afnemen.
Voorbereiding op de ingreep
Het Preoperatief Bureau
Vanuit de polikliniek en vóór de opname in het ziekenhuis wordt u doorverwezen naar het Preoperatief Bureau. Het is belangrijk om u als patiënt zo goed en veilig mogelijk voor te bereiden op de aanstaande ingreep en de vorm van anesthesie die nodig is. Hiervoor is preoperatief onderzoek nodig.
Door dit onderzoek is de kans op problemen tijdens en na de ingreep zo klein mogelijk. Meer informatie leest u in onze folder ‘Anesthesie en preoperatief onderzoek’.
Anesthesie
De ingreep geschiedt onder algehele (narcose) of regionale anesthesie. Bij het Preoperatief Bureau kunt u met de anesthesist bespreken welke vorm voor u het meest geschikt is. Meer informatie over de gang van zaken vóór, tijdens en na de anesthesie krijgt u via het Preoperatief Bureau.
Bloedverdunnende medicijnen
Het gebruik van bloedverdunnende medicijnen moet u, uitsluitend in overleg met uw arts, voor de ingreep stoppen. Als u onder begeleiding staat van de Trombosedienst informeer deze dan over de ingreep. De Trombosedienst stemt dan het beleid met u af.
Krukken
Na de ingreep heeft u krukken nodig. Voor het lenen of kopen van krukken kunt u terecht bij een thuiszorgwinkel. Op de Zorgboulevard op locatie Venlo is een thuiszorgwinkel aanwezig.
Opnameduur
De opnameduur is 1 tot 2 nachten.
Infectie voorkomen
Voor de ingreep krijgt u antibiotica om de kans op infectie te verkleinen.
 
Na de ingreep
Na de ingreep gaat u naar de uitslaapkamer, waar gedurende de eerste uren intensieve bewaking en controle plaatsvinden. Soms treedt na de ingreep misselijkheid op. Na de ingreep heeft u een infuus in uw arm. Als u voldoende hersteld bent gaat u terug naar uw eigen afdeling.
Bloedverdunners
Na de ingreep krijgt u medicijnen toegediend om trombose te voorkomen. De zogenaamde bloedverdunners worden in de vorm van onderhuidse injecties gegeven gedurende twee weken.
Pijnbestrijding
De arts spreekt pijnbestrijding af om de pijn na de ingreep zoveel mogelijk te verminderen. Als dit onvoldoende werkt, kunt u dit melden bij de verpleging.
Wondverzorging
Als u een drukverband heeft wordt dit doorgaans de eerste dag na de ingreep verwijderd. De wond wordt daarna verbonden met een pleister.
Mobiliseren
De dag van de ingreep blijft u meestal in bed. De eerste dag na de ingreep start de fysiotherapie met het oefenen van het rekken en strekken van de knie en spierversterkende oefeningen voor het bovenbeen.
Als alles goed gaat mag u onder begeleiding van de fysiotherapeut uit bed en start u met het lopen met krukken. U mag direct belasten op geleide van de pijn. De fysiotherapeut en uw behandelend arts zullen aan het eind van de opname met u bepalen of het nodig is om thuis met fysiotherapie door te gaan.
Mogelijke complicaties
Ondanks alle zorg die besteed wordt aan de ingreep, kunnen er toch nog complicaties optreden, zoals:
- een infectie van de wond
- een nabloeding, dit gebeurt zelden
- een bloeduitstorting (hematoom), dit gebeurt geregeld
- trombose
De ingreep
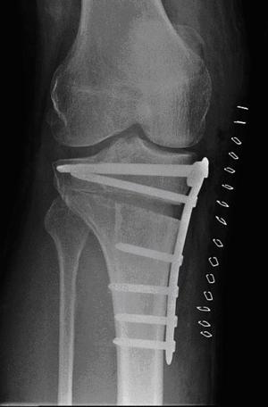
Bij de ingreep maakt de operateur een snede in het onderbeen. Hierna wordt het bot van het onderbeen bereikt. Bij de open-wig osteotomie wordt het bot van het scheenbeen ingezaagd en open gespreid. Op de plaats waar de wig uit het scheenbeen verwijderd is, plaatst de arts een plaat met schroeven. Hierdoor wordt de gecorrigeerde beenstand gefixeerd. Het plaatje en de schroeven liggen onder de huid. Het kuitbeen blijft intact. Vervolgens wordt de huid gesloten en wordt een drukverband aangelegd.
Duur van de ingreep
De ingreep duurt ongeveer een uur.
 
Weer thuis
Het is belangrijk dat u doorgaat met de oefeningen die u in het ziekenhuis heeft geleerd. Ook is het belangrijk dat de knie helemaal gestrekt kan worden. Het is daarom niet de bedoeling dat u gaat liggen met een kussen onder de knie. Maak bij het traplopen gebruik van de trapleuning.
Probeer de loopafstand geleidelijk te vergroten, liefst door wat vaker een stukje te gaan wandelen. De eerste 6 weken zult u met krukken lopen. Na de eerste poliklinische controle zal de arts met u de uitbreiding van de activiteiten bespreken.
Pijnbestrijding
Wij adviseren u de eerste dagen na de operatie 3 maal daags 2 tabletten paracetamol (500 mg) in te nemen. Op geleide van uw pijnklachten mag u de pijnstillers afbouwen.
Als de pijnstilling niet voldoende werkt of als u vragen over het afbouwen hebt kunt u contact met ons opnemen.
Lichamelijke verzorging
U mag douchen zodra de wond droog en gesloten is.
Koelen
Het kan prettig zijn het geopereerde gebied te koelen met een ijspakking. Het advies is dan om 3 keer per dag ongeveer 15 minuten de ijspakking gewikkeld in een doek op het geopereerde gebied te leggen.
Poliklinische afspraak
Ongeveer 2 weken na de ingreep wordt u gebeld door de orthopedie-consulente v Na ongeveer 8 weken komt u terug bij de orthopedisch chirurg.
Werk en sport
Het moment waarop u weer kunt werken of sporten is afhankelijk van het soort werk of sport dat u doet. U kunt dit overleggen met uw behandelend specialist tijdens de controle.
Vragen
Heeft u na het lezen van deze informatie nog vragen? Stel uw vragen tijdens het eerstvolgende bezoek of bel naar:
Contact
Opmerkingen
Ziet u een typfout, een taalkundige fout, of heeft u moeite met de leesbaarheid?
Ziet u teksten of afbeeldingen met auteursrechten die wij niet hebben vermeld?
Stuur een e-mail naar communicatie@viecuri.nl en we zoeken een passende oplossing.
Disclaimer
Deze informatie is algemeen en geen behandeladvies. De informatie is ook geen vervanging van de afspraken die tussen patiënt en zorgverlener zijn gemaakt. VieCuri kan niet aansprakelijk worden gesteld voor schade als gevolg van mogelijke onjuistheden. Bekijk hier de uitgebreide disclaimer.
 
 
                     
                    